The Faded Blue Bomber Jacket: A Relic That Unraveled a Mother's Health
At 36, Heather Von St James was a new mother, a co-owner of a thriving hair salon in Minnesota, and a devoted caretaker of her pet rabbits. Her life revolved around her infant daughter, her business, and the comforting presence of her late father's old work coat—a faded blue bomber jacket that had accompanied her since childhood. "It smelled like him," she recalled, "and I just loved wearing it." The garment, once stained with dust from decades of construction work, became a symbol of familial connection. But this seemingly harmless relic would soon become the catalyst for a medical crisis that upended her life.
In November 2005, after giving birth, Von St James began experiencing unrelenting fatigue, unexplained weight loss, and persistent fevers. She attributed these symptoms to the exhaustion of new motherhood, a common refrain for many women in her situation. However, by December, her condition had deteriorated to the point where a family member confronted her about her dramatic weight loss—nearly five pounds per week. "She took one look at a photo I sent my sister of me and my baby, curled up on the couch, and called me in a panic," Von St James said. "She said I looked dead in the photo and to call my doctor right away."
Her doctor's initial tests revealed a tumor in the pleura, the thin membrane lining the lungs and chest cavity. A CT scan confirmed the diagnosis: malignant pleural mesothelioma, a rare and aggressive cancer with a grim prognosis. "I didn't know what mesothelioma was," she admitted. "The doctor asked if I or anyone in my family had ever worked with asbestos. I looked at my husband, and he looked at me. He said, 'Oh, this is bad.'" Without immediate intervention—surgery, chemotherapy, or radiation—her survival outlook was bleak. At most, she had 15 months to live. "It was disbelief," she said. "How could this be happening?"

Historically, mesothelioma has been dubbed "the disease of older men," linked to industrial jobs involving asbestos exposure, such as shipbuilding, construction, and insulation. However, Von St James's case highlights a growing trend: secondary exposure, often through family members. Asbestos, a group of fibrous minerals once widely used in building materials, was prized for its heat resistance and durability. When inhaled or ingested, its microscopic fibers can embed in the body, triggering inflammation and, over decades, genetic mutations that lead to cancer. Malignant pleural mesothelioma, the most common form, develops in the pleura, causing the tissue to thicken and form dense, whitish masses that encase the lungs. Unlike lung cancer, which originates in lung tissue, mesothelioma spreads by invading nearby organs or traveling through the bloodstream, making it particularly insidious.
The latency period for mesothelioma is notoriously long—typically 20 to 50 years between initial exposure and diagnosis. A person exposed in their 20s might not show symptoms until their 60s or 70s. This delayed onset complicates early detection, as symptoms like chest pain, shortness of breath, and fatigue often mimic less severe conditions. For Von St James, the source of her exposure was not her own labor but her father's. "He was covered in asbestos dust every day," she said. "I hugged him, wore his clothes, and never imagined it could harm me."
The Centers for Disease Control and Prevention (CDC) has documented a troubling rise in mesothelioma deaths among women, from 489 in 1999 to 614 in 2020. Secondary exposure—such as washing contaminated work clothes or living with someone exposed to asbestos—has become a significant risk factor. Despite declining asbestos use since the 1970s, the material remains prevalent in older buildings constructed before the 1980s. Legal challenges have occasionally overturned restrictions, allowing its use in certain industries. Public health experts warn that even minimal exposure can carry long-term risks, emphasizing the need for stringent regulations and awareness campaigns.

Von St James's story is a stark reminder of the invisible dangers lurking in everyday objects and the far-reaching consequences of past industrial practices. Her battle with mesothelioma, though harrowing, has also become a catalyst for advocacy. She now works with organizations to raise awareness about asbestos risks and the importance of early detection. "This isn't just about me," she said. "It's about everyone who might be unknowingly exposed. We need to protect future generations from this preventable tragedy."
Mesothelioma remains one of the deadliest cancers, with a five-year survival rate of less than 10 percent. Yet, as Von St James's journey illustrates, hope persists. Advances in treatment, including immunotherapy and targeted drug therapies, are offering new possibilities for patients. Her resilience—wearing her father's coat again, not as a symbol of danger but of love—embodies the strength required to face such a diagnosis. "I didn't choose this," she said. "But I'm choosing to fight, for my family, for others, and for the future.
Her father is pictured in the back wearing the coat that was laced with asbestos fibers. The image is haunting—a relic of a time when the dangers of asbestos were not widely understood. In 2024, the EPA finally banned chrysotile asbestos—the only type still imported—but the rule faces legal challenges. Phase-outs for some industrial uses extend to 2037. These delays are not just bureaucratic; they represent a lag in protecting communities from a toxin that has already claimed too many lives.

Von St James thought back to her childhood and remembered her dad doing construction work when she was around seven years old. He would come home covered in a thick greyish dust from the asbestos-containing drywall mud he sanded and cleaned up. Her dad wore his work jacket every day. So each time she breathed in her dad's scent on the jacket, she was unknowingly breathing in toxic asbestos. The invisible fibers lingered in fabric, in air, in the very fabric of her life. Thinking of her newborn, Von St James threw herself into treatment. "There was no question that I was going to die," she said. "It was like, what do I do to beat this?"
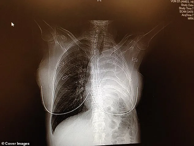
She and her husband flew to Boston to see a specialist who performed a radical surgery. In February 2006, doctors removed her left lung, a rib, the lining of her heart, and part of her diaphragm, replacing them with surgical Gore-Tex. The tumor was excised with clean margins. No visible cancer remained. "My mind was spinning and I couldn't breathe," Von St James said. "I started to have a panic attack in that room while they were explaining what mesothelioma was. I began crying and had to leave the room." It was the hardest day of her life. She felt incredibly alone and scared.
In February 2006, doctors removed her left lung, the rib above it, the lining of her heart, and part of her diaphragm. In their place, they used surgical Gore-Tex—the same material used in waterproof clothing—to rebuild parts of her chest. The surgery was a success. Surgeons had excised the tumor with perfect margins, leaving no visible cancer behind. As a precaution, to make sure they removed every bit of cancer, doctors infused warm drugs directly into her chest cavity, rocking her back and forth for an hour to circulate the medicine and kill any remaining cancer cells. "Patients call it the 'shake and bake,'" Von St James said. She endured four rounds of chemotherapy and 30 sessions of radiation. "People say once you survive cancer, everything should be great," she said. "But there are a lot of ongoing physical things that happen after surgeries."

Mesothelioma deaths among women are rising, from 489 in 1999 to 614 in 2020, according to the CDC. The culprit is often secondary exposure, including from washing a husband's dusty work clothes or hugging an asbestos-covered loved one. These stories are not just about individual tragedies—they are a call to action for policymakers and communities. The fibers that once clung to Von St James's father's jacket now haunt her own life, decades later.
Twenty years later, Von St James still lives with chronic pain from the surgery, ongoing breathing problems that make climbing a single flight of stairs exceedingly difficult, and limited movement in her left hand and shoulder that makes lifting things a challenge. While the prognosis is typically grim for mesothelioma patients, long-term survivors do exist, and Von St James is one of them, now 20 years cancer-free. Her dad died in 2014 from renal carcinoma, which she believes was related to his asbestos exposure. Asbestos fibers can travel from the lungs to the bloodstream and cause disease in other places in the body. Now, she funnels energy into advocacy, lobbying for EPA action against asbestos, pushing for a complete ban on the use and import of the deadly mineral in the US.
"Doctors rarely see patients live this long after mesothelioma," Von St James, now 57, said. "They say in my case, to be here 20 years is rare. I'm frankly still shocked I'm here." Twenty years later and she's still alive. Giving people that hope—that it can be done, that medicine can get us there—brings so much hope to so many. Her story is not just about survival; it's a testament to resilience, a warning, and a plea for change.