New Mother's Vision Flashes Lead to Devastating Brain Tumor Diagnosis
Susan Ash was basking in the glow of new motherhood when strange flashes of light began invading her vision.
The then-24-year-old brushed it off, blaming hormonal changes from pregnancy and the fact she'd been a lifelong sufferer of migraines.
But three months after giving birth, she collapsed at a soccer game and suffered a seizure.
She was rushed to the hospital where doctors then made a devastating discovery: she had a brain tumor.
She was told the tumor was slow-growing and had likely been there for years, possibly since she was born.
Its growth may have been sped up by the hormone fluctuations caused by pregnancy, triggering complications such as seizures.
Ms Ash, from New Hampshire, said: 'I was paralyzed with fear.
I cried hysterically while holding my three-and-a-half-month-old baby, praying she wouldn't have to grow up without a mom.' Susan Ash, now 25, pictured above with daughter Julia who was born in July 2024.

Shortly after the birth, Ms Ash was diagnosed with a brain tumor.
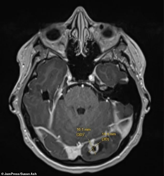
The above is a picture of the scan of Ms Ash' brain, with the tumor shown by the yellow lines.
She added: 'In retrospect, as a new parent I wasn't connecting the dots and truthfully wasn not concerned about this — I assumed it was stress.
But when I went back to work seven weeks postpartum, the duration and frequency of these episodes [headaches and blurred vision] was increasing.' Doctors found the tumor on her left occipital lobe — the part of the brain at the back of the head responsible for processing visual information from the right eye.
Fortunately, the mass was not cancerous, but its location explained the strange flashes Ms Ash had been experiencing.
Experts say that during pregnancy, surging hormone levels — particularly estrogen and progesterone — can stimulate the growth of brain tumors.
These hormones can bind to receptors on the tumor itself, potentially accelerating its development, especially if it had been silently growing for years.

Ms.
Ash gave birth to her daughter, Julia, in July 2024.
Not long after, she began experiencing vision changes and persistent migraines.
Concerned but not alarmed, she visited her doctor, who referred her to a neurologist.
But when the symptoms seemed to ease after she began taking magnesium supplements, she canceled the appointment.
Then in October, while playing soccer with her family, Ms Ash suddenly collapsed mid-game.
She had suffered a grand mal seizure — a severe type of seizure that affects the entire brain, causing muscle stiffness and loss of consciousness.
She was rushed to hospital, where imaging scans revealed a marble-sized tumor pressing on her brain.

It was also causing irritation within the skull, leading to swelling, compression and intense headaches.
Ms Ash recently revealed her long-term struggle with migraines and visual disturbances that started as early as age ten.
These symptoms were likely precursors to a tumor that has been growing silently over many years.
The realization came during a family soccer game when she suffered a seizure, prompting an immediate hospital visit where scans confirmed the presence of a brain tumor.
She vividly described her symptoms: 'On my right side I would see bright flashing lights moving in circular patterns, which would last for about two minutes.
Then once that subsided, my peripheral vision on that side became blurry.' Doctors presented Ms Ash with a difficult decision—leave the tumor alone or opt to remove it at the risk of losing her vision in her right eye.
She has chosen surgery, weighing the potential long-term health risks against the immediate visual impairment. 'Although there is a chance I will lose the vision in my right eye,' she said resolutely, 'it's a small price to pay for being alive.' Eight months after giving birth, Ms Ash found herself unable to drive due to her condition and struggles with finding employment because of her seizures.

This has added financial stress to an already challenging situation.
Ms Ash, now 25, is using her experiences to connect with others facing similar health battles online and raising awareness about the early symptoms that may indicate a brain tumor.
She emphasizes the importance of recognizing these signs: persistent headaches, nausea or vomiting, and vision problems such as blurred or double vision.
According to medical experts, many patients go undiagnosed for years because their symptoms—like migraines and nausea—are often mistaken for less serious conditions.
Ms Ash's journey highlights how critical it is to consider a brain tumor when such symptoms persist.
While her diagnosis at three months postpartum is unusual, she finds solace in connecting with others through shared experiences of fear, anxiety, sadness, anger, grief, gratitude, positivity, happiness, and pride.
Whether viewers relate to the motherhood, medical, or mental health aspects of her story, Ms Ash's ultimate goal remains clear: 'To make sure no one feels alone.' With approximately 90,000 Americans diagnosed with a brain tumor annually, predominantly among those aged forty and above, raising awareness about early symptoms is crucial.
Ms Ash’s determination to support others facing similar challenges underscores the importance of community in navigating serious health issues.