Mental Health and Infection Control: Expert Advisories on Integrated Public Health Strategies
A 43-year-old woman from Massachusetts found herself at the intersection of two seemingly unrelated crises: a battle with mental health and a life-threatening bacterial infection that had silently spread through her body.
Admitted to the psychiatric ward of Massachusetts General Hospital, a Harvard-affiliated institution, she arrived with severe depression, a plan to end her life through medication overdose, and a persistent dry cough that had plagued her for months.
Her case, detailed in a recent medical journal, highlights the complex interplay between physical and mental health, and the risks faced by individuals navigating both.
The woman’s life had been marked by a cascade of challenges.
Diagnosed with bipolar disorder 17 years earlier, she had also endured domestic violence, financial instability, and a lack of stable housing.
These stressors compounded her vulnerability, but they were only part of the story.
For two years prior to her hospitalization, she had struggled to access her HIV medications—a condition she had been living with since 2006.
This gap in treatment, combined with her regular use of crack cocaine, daily cigarette smoking, and frequent alcohol consumption, likely weakened her immune system, leaving her defenseless against opportunistic infections.
The first red flags appeared in the form of a relentless cough, a symptom she initially dismissed as a side effect of her mental health struggles.
But as her hospital stay progressed, her condition deteriorated rapidly.
Doctors observed worsening oxygen levels and labored breathing, prompting a series of scans.
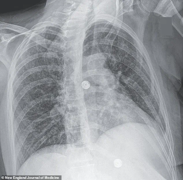
X-rays revealed small nodules in her lungs, a telltale sign of bacterial infection.
Further imaging uncovered lesions in her liver, lymph nodes, pancreas, and brain—indications that the infection had spread far beyond her respiratory system.
After nine weeks of testing, biopsies confirmed the presence of *Mycobacterium tuberculosis*, the bacterium responsible for tuberculosis.
Though rare in the United States, with only a few thousand cases reported annually, TB remains a global health threat, particularly in regions with limited access to modern antibiotics.
In the U.S., it disproportionately affects individuals with compromised immune systems, those in overcrowded environments like prisons or shelters, and people from countries where TB is endemic.
For this woman, the combination of HIV, substance abuse, and unstable living conditions created a perfect storm.
Her diagnosis of disseminated tuberculosis—a severe form of the disease that spreads to multiple organs—added another layer of complexity.
Doctors speculated that the infection may have contributed to her mental health crisis.

TB is known to trigger inflammation and disrupt the production of tryptophan, an amino acid essential for serotonin synthesis.
This biochemical disruption could have exacerbated her depression and anxiety, blurring the line between illness and mental health decline.
The case has sparked renewed discussions about the importance of early detection and treatment for both HIV and TB.
Public health experts warn that undiagnosed or untreated HIV increases the risk of severe TB infections, particularly in populations with limited access to healthcare.
They also emphasize the need for integrated care models that address both physical and mental health, especially for marginalized communities.
As the woman’s story unfolds, it serves as a stark reminder of the interconnectedness of health issues and the fragility of systems that support vulnerable individuals.
Her journey underscores the critical role of accessible healthcare, the dangers of untreated chronic conditions, and the invisible battles fought by those living at the margins of society.
In a world where mental health and infectious diseases often go hand in hand, her case is both a cautionary tale and a call to action.
Tuberculosis, once a specter that haunted entire generations, has seen a dramatic decline in the United States over the past few decades.
Today, it infects only a few thousand Americans annually and claims the lives of about 500 people—far fewer than the tolls exacted by cancer, heart disease, and dementia.
Yet the threat remains starkly uneven, with the World Health Organization reporting that tuberculosis kills 1.2 million people globally each year, predominantly in developing nations where overcrowding, poverty, and limited access to healthcare create fertile ground for the disease to spread.
The United States had long seen a steady decline in tuberculosis cases, with the number of infections hitting an all-time low of 7,170 in 2020.
But this progress has been abruptly reversed.
In 2021, the number of cases rose to 7,866, and the upward trend has continued.
The latest data from the Centers for Disease Control and Prevention (CDC) shows that in 2024, the U.S. provisionally recorded 10,347 tuberculosis cases—an 8% increase from the previous year and the highest tally since 2011.
This resurgence has sparked alarm among public health officials, who warn that the disease is no longer a distant concern but a growing challenge in a country that once nearly eradicated it.
The rise in tuberculosis cases is not confined to a single region.

According to the CDC, 80% of U.S. states have seen an increase in tuberculosis prevalence since 2020.
Experts point to a confluence of factors, including missed diagnoses, delayed treatment, and a deepening distrust of healthcare systems that emerged during the height of the COVID-19 pandemic.
Many individuals, particularly in marginalized communities, have become wary of medical professionals and institutions, leading to a reluctance to seek care even when symptoms appear.
This hesitancy has allowed tuberculosis to fester in undiagnosed and untreated cases, compounding the public health risk.
The demographics of tuberculosis in the U.S. have also shifted significantly.
Since 2001, the CDC has reported that more non-U.S. born citizens have been diagnosed with tuberculosis than U.S.-born individuals.
This shift underscores the role of immigration and global travel in the disease’s resurgence.
While the United States has historically been able to contain tuberculosis through robust public health infrastructure, the growing presence of immigrants from high-burden countries has introduced new challenges.
These individuals often come from regions where tuberculosis remains a leading cause of death, and some may have latent infections that can reactivate under stressors like poverty, homelessness, or weakened immune systems.
Tuberculosis spreads through airborne droplets released when an infected person coughs, sneezes, or even speaks.
In the early stages, symptoms can be insidious, manifesting as a persistent cough, sometimes accompanied by coughing up blood or chest pain.
Patients may also experience unexplained weight loss, loss of appetite, fever, and night sweats.
As the disease progresses, severe breathing difficulties and extensive lung damage can occur, with the infection potentially spreading to other organs or the spine, causing debilitating pain.
In the most severe cases, respiratory failure from bacterial damage to the lungs becomes the primary cause of death.
In some rare but devastating instances, tuberculosis can take a different route.
Consider the case of a woman whose medical scans revealed nodules in multiple organs, including her lungs, liver, pancreas, and brain.

These images, captured through advanced imaging techniques, illustrated the insidious nature of the disease.
TB in the brain can lead to catastrophic outcomes, damaging vital tissues and increasing pressure within the skull.
This pressure can cause nerve cells to die, resulting in paralysis, strokes, or even death.
Such cases highlight the importance of early detection and treatment, as the disease’s ability to infiltrate and damage organs beyond the lungs makes it particularly dangerous if left unchecked.
Prevention remains a critical tool in the fight against tuberculosis.
The Bacillus Calmette-Guerin (BCG) vaccine, widely used in countries with high tuberculosis burdens, is not routinely administered in the United States due to the low risk of infection among the general population.
However, it is reserved for children regularly exposed to people with active tuberculosis and healthcare workers in high-risk areas.
This targeted approach reflects the delicate balance between public health strategy and the realities of disease prevalence in the U.S.
The challenges of treating tuberculosis are not limited to medical interventions.
Consider the story of the woman whose case was detailed in medical reports.
After 33 days in the hospital receiving a combination of antibiotics, steroids, and antiretroviral therapy to manage her HIV, she was discharged to a facility for homeless individuals.
Three months later, she was readmitted for depression and suicidal ideation, driven by housing instability.
Her journey underscores the complex interplay between tuberculosis and social determinants of health.
While medical treatment is essential, addressing the root causes of homelessness, mental health crises, and systemic inequities is equally vital to preventing the resurgence of diseases like tuberculosis.
As tuberculosis cases continue to climb, public health officials are sounding the alarm.
They emphasize that the disease is not a relic of the past but a present-day crisis that demands renewed vigilance.
Credible expert advisories urge increased investment in early detection programs, improved access to healthcare for vulnerable populations, and a reevaluation of vaccination strategies.
The resurgence of tuberculosis in the United States is a stark reminder that even in a country with advanced medical infrastructure, the threat of infectious diseases can resurface if public health measures are not sustained.
The story of the woman with tuberculosis in her brain is not an isolated incident—it is a warning of what can happen when a disease is allowed to fester in the shadows of neglect and inequality.