From Hidden Smiles to Confidence: How the ABC Technique Transformed Mandy Turver's Life
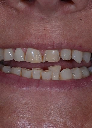
Before the ABC technique, I felt like my smile was a secret I had to hide," says Mandy Turver, 56, from Rotherham. "I'd avoid smiling in photos, and even at family gatherings, I'd cover my mouth when laughing. It wasn't just about appearance—it felt like a part of me was missing." Her journey began in her 50s, when her teeth began shifting and yellowing, a change she never anticipated. "I thought this was normal aging," she admits. "But it wasn't just my teeth—it was my confidence. I'd lost the ability to smile freely."
The ABC technique, which Mandy credits with transforming her life, is a three-step process that combines orthodontics, whitening, and contouring. Unlike traditional cosmetic procedures, it avoids drilling or injections, instead using clear aligners, at-home bleaching, and composite resin to reshape teeth. "It's not just about making teeth look good," explains Dr. Affan Saghir, the London-based dentist who treated Mandy. "It's about restoring balance. As we age, our lower jaw shifts, causing crowding and misalignment. This isn't just a cosmetic issue—it affects how we chew, speak, and even how we feel about ourselves."
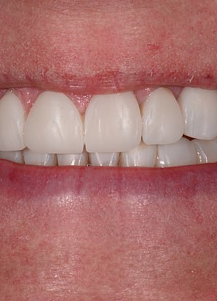
Mandy's experience with the aligners was seamless. "I wore them 22 hours a day, but they were barely noticeable," she says. "At first, there was a little pressure, but it wasn't painful. I'd forget they were there while talking on the phone or watching TV." The whitening phase followed, using a custom solution applied at home. "It's like a gentle polish," Mandy explains. "The results were instant—my teeth looked years younger." The final step involved contouring, where composite resin was shaped to even out uneven edges. "It felt like magic," she says. "They matched my natural tooth color perfectly. I can't believe they're not real."

But why has this method gained traction now? Statistics show that over 50% of Britons are insecure about their smiles, with many avoiding photos with their teeth visible. "Aging teeth are a universal problem," Dr. Saghir says. "Enamel wears down over time, revealing the yellow dentin underneath. Plus, gum recession exposes roots, which are more prone to decay. But the crowding we see in older adults isn't just from wear—it's a structural shift in the jaw." He adds that traditional orthodontics can be too invasive for older patients, but the ABC technique offers a gentler alternative.

Mandy's transformation has had ripple effects beyond her smile. "I've become more confident in every area of my life," she says. "I even started a new job as a part-time tutor. I never thought I'd be able to do that." She also credits the procedure with easing her long-standing fear of dentists, a trauma from a botched root canal in her 30s. "This was the first time I felt comfortable in a dental chair. It's not just about looking good—it's about feeling whole."
Could this be the future of cosmetic dentistry? Dr. Saghir believes so. "The ABC technique is proof that aging doesn't have to mean losing your confidence. It's about creating a smile that feels natural, not forced." For Mandy, the results are undeniable. "I look half my age now," she says with a grin. "But more importantly, I feel like the woman I was always meant to be."

Is it possible that a perfect smile is just a matter of timing? Or is it about finding the right solution when it matters most? Mandy's story suggests that for many, the answer lies in embracing innovation—not just for the teeth, but for the self.
A groundbreaking dental procedure, recently refined by Dr. Affan, has emerged as a beacon of hope for patients seeking transformative results. This method, dubbed the ABC technique, combines three established dental processes into a seamless sequence that reshapes smiles with precision and care. The outcome is a near-perfect, natural-looking smile that requires only routine biannual check-ups to maintain. Each step of the procedure is already a staple in modern dentistry, used both for medical necessity and cosmetic enhancement. By assigning it a clear acronym, Dr. Affan aims to demystify the process for patients, ensuring they understand the journey from initial consultation to final transformation.
The ABC technique operates on the principle of incremental refinement. The first step involves a thorough assessment of the patient's oral health, ensuring that any underlying issues are addressed before proceeding. The second phase focuses on aligning teeth using advanced orthodontic methods, while the third step applies a specialized whitening process that enhances color without compromising enamel integrity. Together, these steps create a smile that is not only visually striking but also functionally sound. Dr. Affan emphasizes that this approach avoids the need for invasive procedures, offering a gentler alternative to traditional cosmetic dentistry.
Patients report life-changing results after undergoing the ABC technique. One such individual, Mandy, described her experience as profoundly emotional. "I started to cry when I saw my new grin in the mirror," she said. "I felt like a whole new woman." For many, the procedure restores confidence and self-esteem, bridging the gap between how they envision themselves and their current appearance. Dr. Affan notes that patients often walk out of his clinic at 60, looking 30—rejuvenated and radiant. The combination of a straight, white smile and the knowledge that it is both durable and low-maintenance makes this technique particularly appealing.

The broader implications of the ABC technique extend beyond individual transformation. Dentists who adopt this method report increased patient satisfaction and reduced follow-up visits, highlighting its efficiency and effectiveness. Regulatory bodies have taken notice, with some jurisdictions considering guidelines to standardize the application of such procedures. While the technique remains widely accepted, ongoing dialogue between dental professionals and policymakers ensures that advancements like the ABC method are integrated responsibly into public health frameworks.
For patients, the ABC technique represents more than a cosmetic upgrade—it symbolizes a renewed sense of identity. The procedure's emphasis on long-term maintenance, coupled with its non-invasive nature, aligns with modern priorities in healthcare: sustainability, safety, and patient autonomy. As word of its success spreads, more individuals are seeking consultations, eager to reclaim their smiles and, in doing so, reclaim their confidence. The journey from uncertainty to transformation, Dr. Affan insists, is a testament to the power of innovation in dentistry.