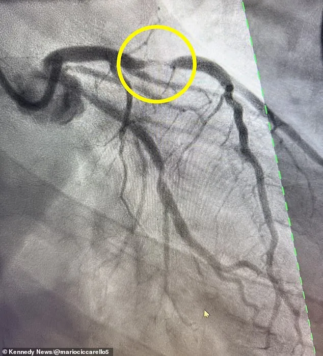
Fit Ultra-Marathoner's Near-Death Experience: Ignoring Chest Pain Led to 95% Heart Blockage
Mario Ciccarello, a 34-year-old warehouse worker and avid ultra-marathon runner, believed his chest pain was a temporary reaction to spicy Mexican food. This assumption nearly cost him his life. After a workout in February, Ciccarello experienced sharp chest pain radiating to his shoulder and arm—classic signs of a heart attack. His fitness and age led him to dismiss the symptoms as a temporary issue, but the pain intensified hours later, leaving him breathless and desperate. 'I looked at my son sleeping and wondered if it was the last time I was going to see him,' he later recalled. His resting heart rate surged to 112 beats per minute, signaling severe cardiac distress. Despite his physical fitness, Ciccarello's condition was far from benign. He had suffered a 95 percent blockage in his left anterior descending (LAD) artery, a blockage that doctors classified as a 'widow-maker' heart attack. This term refers to the high mortality rate associated with the LAD artery, which supplies critical blood to the heart's pumping chamber. Only 12 percent of patients survive such events without immediate intervention.

Ciccarello's case is part of a troubling trend. Data from the American Heart Association reveals a 66 percent increase in heart attacks among Americans under 40 between 2019 and 2023. One in five heart attack patients is now younger than 40, despite overall improvements in public health metrics. Experts cite stress, delayed medical screenings, and environmental contaminants such as pollution as contributing factors. In Ciccarello's case, genetic testing is ongoing to determine if an inherited condition heightened his risk. The situation highlights a critical gap: even the healthiest individuals can suffer cardiac events without clear lifestyle triggers. Doctors estimate that 800,000 Americans experience heart attacks annually, with widow-maker events disproportionately affecting men in their 40s.

The medical response was swift but precarious. Emergency teams inserted two stents into Ciccarello's artery, restoring blood flow and saving his life. He now takes blood thinners and undergoes genetic testing while advocating online for younger people to recognize heart attack symptoms. Chest pain, shortness of breath, dizziness, and nausea are red flags, regardless of age or fitness level. 'Every minute you wait causes more damage to your heart,' he emphasizes. His story underscores a broader public health challenge: the need for early education and access to care.

Despite the rising incidence, systemic barriers to care persist. Limited access to preventive screenings and misdiagnosis due to assumptions about age or fitness levels can delay treatment. Health officials stress the importance of public awareness campaigns, urging individuals to seek immediate help if symptoms arise. 'Heart attacks can strike anyone,' says Dr. Lena Torres, a cardiologist at Mayo Clinic. 'Fitness does not guarantee immunity. Recognizing symptoms early is lifesaving.'

Ciccarello's journey—from dismissing his pain to surviving a near-fatal event—serves as a stark warning. His recovery is a testament to the power of timely intervention, but it also highlights a growing crisis. As the number of young heart attack victims rises, policymakers face pressure to address systemic issues in healthcare access, environmental protections, and public education. For now, Ciccarello's message is clear: 'Don't ignore the signs. Your heart doesn't care about your fitness level.'