Discovery of Hundreds of Gold Threads in Woman's Knees Sparks Safety Concerns Over Alternative Acupuncture Treatment
A 65-year-old woman in South Korea, seeking relief from osteoarthritis pain through alternative medicine, was left in shock when an X-ray revealed hundreds of gold threads embedded in her knees.
The discovery, made during a routine scan to assess her condition, raised urgent questions about the safety and efficacy of gold thread acupuncture, a practice increasingly used in Asia for pain management.
The woman, who had a history of conventional treatments, had turned to this unconventional therapy in hopes of long-term relief.
Instead, the threads—left from a prior session—complicated her diagnosis and worsened her symptoms.
Osteoarthritis, a degenerative joint disease affecting millions globally, was already a challenge for the patient.
Her condition, characterized by the breakdown of cartilage and bone-on-bone friction, had led her to explore both pharmaceutical and holistic remedies.
Gold thread acupuncture, a variant of traditional Chinese medicine, involves inserting sterile gold threads into acupuncture points to stimulate healing and pain relief.
Proponents claim the threads remain under the skin indefinitely, providing continuous stimulation.
However, the case highlights the risks of this practice, as the threads were not only visible on scans but also potentially migrating to other parts of the body, risking infection or tissue damage.
Doctors treating the woman, whose case was detailed in the *New England Journal of Medicine*, emphasized the diagnostic challenges posed by the threads.

On imaging, the specks clustered around her kneecaps and extended toward her shin and thigh, obscuring critical anatomical details. 'This case underscores a growing concern,' said one physician involved in the report. 'Alternative therapies like gold thread acupuncture can complicate medical imaging and delay proper diagnosis, especially when symptoms worsen unexpectedly.' The medical team did not specify whether the threads were removed, but experts warn that leaving them in place can lead to severe complications, including infections and organ damage if the threads migrate.
Gold thread acupuncture, though popular in China and Korea, lacks robust scientific validation.
Practitioners argue the threads stimulate the release of endorphins and promote healing, but no peer-reviewed studies support these claims.
Medical professionals caution that introducing foreign objects into the body, even with sterile techniques, carries inherent risks. 'There is no evidence this practice is effective or safe,' stated Dr.
Emily Chen, a rheumatologist at a U.S. hospital. 'The potential for harm far outweighs any unproven benefits.' The patient’s experience has sparked debate about the regulation of alternative therapies.
While acupuncture itself is widely accepted and studied, variants like gold thread acupuncture remain in a legal and medical gray area. 'Patients are vulnerable when they seek treatments that aren’t rigorously tested,' said Dr.
Michael Park, a bioethicist. 'We need stricter oversight to ensure these practices don’t cause more harm than good.' For now, the woman’s case serves as a stark reminder of the fine line between traditional remedies and medical risk, urging both patients and practitioners to prioritize evidence-based care.
The incident has also prompted calls for greater transparency in alternative medicine.

Patients like the 65-year-old woman, who turned to gold thread acupuncture after conventional treatments failed, often lack access to comprehensive information about the risks involved. 'We need to ensure that patients are fully informed,' said a Korean orthopedic surgeon who reviewed the case. 'This isn’t just about one individual—it’s about the millions who might be unknowingly exposed to similar dangers.' As the medical community grapples with the implications, the story of the woman’s unexpected discovery remains a cautionary tale for those navigating the complex world of alternative therapies.
The 65-year-old woman’s case is not unique.
Doctors have reported in several case studies similar instances of people treating their arthritis or headache with gold thread acupuncture, only to face gruesome side effects.
These accounts, scattered across medical journals and hospital records, reveal a growing concern about the long-term risks of a therapy that has gained popularity in some parts of the world, particularly in East Asia. "We’ve seen multiple cases where gold threads, once implanted, have caused chronic infections and immune reactions that are difficult to treat," said Dr.
Park Min-joo, a dermatologist at Seoul National University Hospital, who has studied several such cases. "The body doesn’t know how to handle these foreign materials, and the consequences can be severe." In 2021, doctors in Korea treated a woman who presented to the hospital with a severely swollen right lower leg, marred by multiple cysts on the skin.
She told doctors she had undergone gold thread acupuncture on her back a decade earlier but not on her legs.
Over the preceding year, the woman had experienced periodic skin infections on her right leg, even plucking out gold threads that poked through her skin at various points. "We assume that the implanted particles on the back have migrated through the vessels to the legs," the doctors wrote in a case study. "Since these particles are not self-absorbable, they remain in the tissue for years and cause secondary infections recurrently." The same year, Korean doctors published a report in the *Indian Journal of Dermatology, Venereology and Leprology* about a 50-year-old woman who developed a skin reaction after undergoing gold thread acupuncture for cosmetic purposes.
Six months after the procedure, she began noticing firm, red, painless bumps on her forehead and cheeks.

Imaging confirmed the presence of many gold threads in her facial tissue, and a biopsy revealed a chronic inflammatory reaction called a foreign body granuloma. "This is a textbook case of the body’s immune system reacting to something it can’t break down," said Dr.
Lee Hae-kyung, a pathologist who reviewed the case. "The gold threads are inert, but the inflammation they cause is anything but." The 2021 case of the woman with the chronically infected leg further underscored the dangers of gold thread acupuncture.
Doctors explained that the non-absorbable threads, implanted a decade earlier during acupuncture, had permanently settled in her leg tissue, acting as a persistent source of recurrent infection. "These threads don’t degrade easily," said Dr.
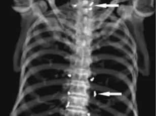
Kim Soo-jin, a surgeon involved in the case. "They can travel through the bloodstream, settle in unexpected places, and create a breeding ground for bacteria." In 2022, a 73-year-old Korean man was hospitalized for a stroke.
During his evaluation, he described a 30-year history of widespread joint pain he had self-treated with gold thread acupuncture.
X-rays revealed thousands of the embedded threads throughout his body. "It was astonishing," said Dr.
Park. "He had no idea that these threads were still inside him, let alone that they could contribute to a stroke." The man had never been diagnosed with rheumatoid arthritis, a chronic disease in which the body’s own immune system attacks healthy joint tissues.
Instead of seeking medical care, he had relied on gold thread acupuncture for years without success.
Once a granuloma forms, treatment is challenging and often incomplete, as completely removing numerous, deeply embedded threads is difficult.

Gold can resist corrosion, tarnishing, and rusting due to its molecular structure, which makes it unlikely to break down or change when it comes in contact with oxygen, acids, or other substances.
However, it can still degrade in the body over time, releasing compounds that the immune system recognizes as foreign.
The immune system’s response to what it perceives as foreign invaders sets off a cascade of inflammatory processes in the body. "This isn’t just a local reaction," said Dr.
Lee. "It can lead to systemic inflammation and even contribute to conditions like autoimmune diseases." While the 50-year-old woman’s condition improved slightly when doctors removed some threads and gave her steroid injections, many of the threads remained embedded, and the spots on her face remained for six more months.
Holistic pain therapies like this one, done in place of doctor check-ups, can potentially obscure a real medical problem, like rheumatoid arthritis. "People are using gold thread acupuncture as a quick fix for chronic pain, but they’re missing out on proper diagnosis and treatment," said Dr.
Park. "This is a public health issue that needs more awareness." In the case of the 73-year-old man, his symptoms finally improved only after he received proper medication for his newly diagnosed RA. "He had been suffering for decades, thinking the threads were helping him," said Dr.
Lee. "But in reality, they were compounding his condition.
It’s a tragic reminder of how alternative therapies can sometimes do more harm than good." Experts are now calling for stricter regulations on the use of gold thread acupuncture, particularly in countries where it is still widely practiced. "We need to educate the public about the risks," said Dr.
Kim. "Gold threads may seem harmless, but they can cause lifelong problems.
It’s time to rethink this approach to pain management."
Photos