Chicago Mother Diagnosed with Aggressive Brain Tumor Just Months After Giving Birth
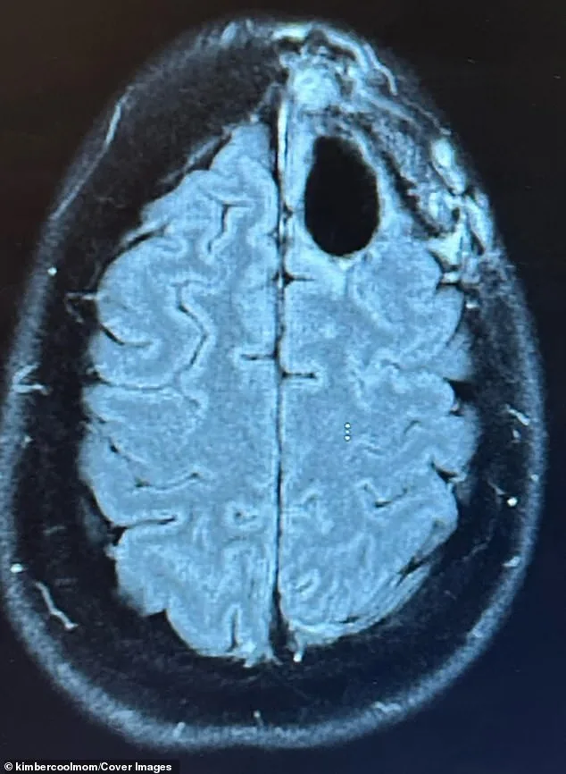
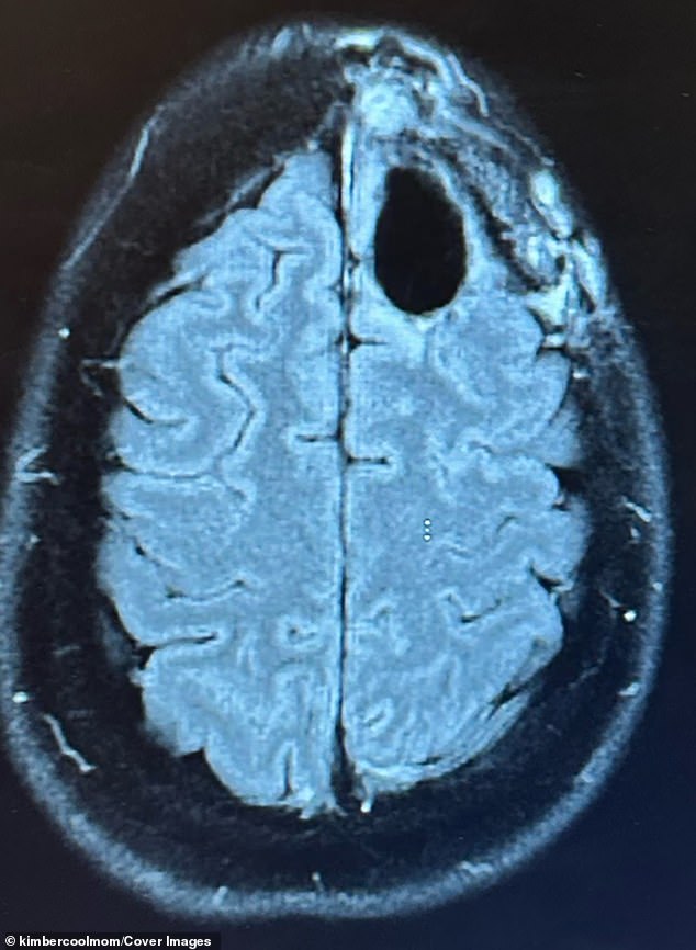
Kimberly Pelling, a 42-year-old mother from Chicago, was diagnosed with grade-four IDH-mutant anaplastic astrocytoma in August 2022. This aggressive, typically incurable brain tumor, which originates in the frontal lobe, left her with a prognosis of three years at best. The diagnosis came just four months after she gave birth to her second son, Raymond, and the news shattered her world. 'Nothing prepares you for that moment,' she said. 'It was devastating.'

Pelling's journey began with sudden night terrors, crushing fatigue, and persistent brain fog. When her family doctor suspected seizures, she was rushed to the hospital for an MRI, which revealed a lime-sized tumor in her frontal lobe. A biopsy confirmed the worst: a grade-four astrocytoma, a cancer with a median survival rate of around 31 months. The prognosis was grim, but Pelling refused to accept it. 'I have babies at home. I can't leave them,' she said. 'But I felt this quiet voice telling me not to give up.'

Conventional treatment followed. Pelling endured surgery to remove the tumor, followed by five weeks of radiation and months of chemotherapy. The regimen left her bedridden, battling fatigue, hair loss, and brain fog. For a time, scans showed no signs of cancer, offering a fleeting glimmer of hope. But eight months later, a new, inoperable tumor appeared, and her prognosis was reduced to just one year. Faced with this reality, Pelling made a difficult decision. In August 2023, she halted conventional treatment and turned to alternative protocols, determined to fight the disease on her own terms.
Her approach centered on a strict carnivore diet, consisting of grass-fed ground beef, scrambled eggs, butter, and salt. She eliminated sugar, believing it would starve the cancer. Her daily routine included a cup of soursop tea, a potent plant she described as 'very powerful.' Supplements filled her medicine cabinet: black seed oil, curcumin, ginger root, alpha lipoic acid, and melatonin, among others. Her regimen also included three bitter apricot seeds daily, a practice she later described as 'unusual' but necessary.

A viral moment came when her son asked why her drink was blue. Pelling explained it was methylene blue, a synthetic compound used in medical diagnostics and now FDA-approved for a rare blood disorder. Preliminary research suggests methylene blue may induce cell death in astrocytoma cells, though its neurological benefits remain under study. Pelling's use of the supplement, at high doses, drew attention from the public and medical community alike.

In 2025, Pelling returned for a routine brain scan, bracing herself for the worst. The results were unexpected: no evidence of cancer. 'Hearing there was no evidence of cancer felt surreal,' she said. 'I just kept saying