Call The Midwife's Emotional Storyline Highlights Rare Medical Condition: The Truth Behind 'Stone Babies
Last week's episode of Call The Midwife sparked an emotional reaction among viewers, shedding light on a rare and distressing pregnancy complication known as lithopedion. The storyline depicted a woman who had unknowingly carried a calcified fetus—commonly referred to as a 'stone baby'—for over three decades. This harrowing narrative, though fictional, mirrors a real medical phenomenon with fewer than 300 documented cases globally. The term 'lithopedion' originates from Greek, combining 'litho' (stone) and 'pedion' (child), and is a stark reminder of the fragility of human life and the body's complex, sometimes tragic, responses to loss.

Doctors emphasize that lithopedion is an exceptionally rare consequence of an ectopic pregnancy, a condition where the fertilized egg implants outside the uterus. In such cases, the embryo fails to develop and eventually dies. When the pregnancy is less than 12 weeks, the fetus's cartilage skeleton can be reabsorbed by the body. However, if the pregnancy progresses beyond that point, the skeleton hardens into bone, making it impossible for the body to break it down. The maternal immune system then shields the dead fetus by encasing it in calcium—a process akin to mummification. This calcified mass remains in the abdomen for years unless detected and removed through medical intervention.
An ectopic pregnancy occurs in approximately 1 in 11,000 pregnancies, with 90% of these cases located in the fallopian tubes. The remaining 10% can occur in other abdominal areas, such as the ovary, cervix, or a previous C-section scar. Most ectopic pregnancies are resolved by the body's natural processes, but when they persist, the risk of complications—such as internal bleeding or, in rare cases, lithopedion—increases. Dr. Deborah Lee, a sexual and reproductive health specialist, notes that less than 2% of ectopic pregnancies evolve into lithopedion, a condition that has become even rarer due to advancements in prenatal care and early diagnosis.
The medical community warns that lithopedion can remain undetected for decades, often causing no symptoms. However, when it does manifest, it may lead to chronic abdominal pain, urinary frequency, or constipation due to pressure on surrounding organs. In severe cases, the mass can become infected, leading to abscesses or life-threatening conditions. Socio-economic factors play a significant role in the prevalence of lithopedion, with limited access to healthcare and cultural stigmas often delaying diagnosis. In some cases, women may carry a lithopedion for years without knowing, only discovering it during post-mortem examinations or scans for unrelated issues.

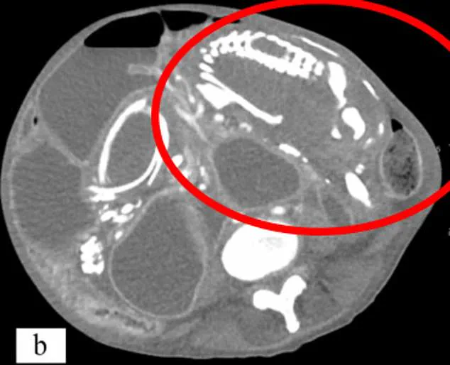
A tragic 2023 case in New York highlighted the dangers of undiagnosed lithopedion. A 50-year-old woman from the Congo carried a calcified fetus for nine years, attributing her symptoms to a 'spell' cast on her in Africa. Despite her complaints of stomach cramps and intestinal gurgling, she refused treatment, ultimately dying 14 months after arriving in the United States. Her body's inability to absorb nutrients due to intestinal compression led to severe malnutrition and starvation. Another case in Brazil involved an 81-year-old woman who died shortly after surgery to remove a lithopedion she had carried for 56 years, a condition that had gone unnoticed for over half a century.

Modern prenatal care has significantly reduced the likelihood of lithopedion, thanks to early pregnancy scans and protocols for identifying pregnancies of unknown location (PUL). Health professionals are now trained to distinguish between intrauterine and ectopic pregnancies, ensuring timely intervention. Women are urged to attend all medical appointments and follow diagnostic procedures, such as B-HCG blood tests and ultrasounds, to prevent complications. Dr. Lee stresses that if a pregnancy cannot be located, immediate follow-up is critical, with treatment options including medication or surgery depending on the situation.

For those affected by pregnancy loss or complications, support is available through organizations like The Sands Helpline at 0808 164 3332 or via email at [email protected]. The story of lithopedion is a sobering reminder of the intersection between medical science, human resilience, and the importance of accessible, timely healthcare in safeguarding maternal well-being.
Photos